Cabinet du Docteur Jean-Marc DUBOIS & Mathieu DUBOIS
Esthétique - Implantologie - Omnipratique
540 rue Paradis, 13008 MARSEILLE
+33 4 91 71 09 28
Cabinet du Docteur Jean-Marc DUBOIS & Mathieu DUBOIS
Esthétique - Implantologie - Omnipratique

Blog - Page 4

Carriere motion classe ii

Carriere motion classe ii

Allongement coronaire

Allongement coronaire

Eclaircissement ambulatoire

Eclaircissement ambulatoire

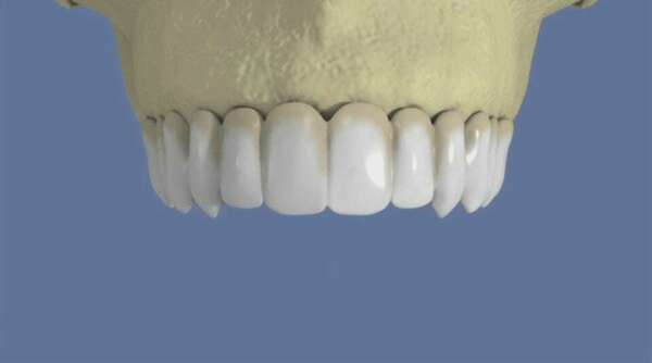
Maxillaire : bridge vissé sans fausse gencive

Maxillaire : bridge vissé sans fausse gencive

Le traitement non chirurgical de la parodontite

Le traitement non chirurgical de la parodontite

Le cas spécifique de la luxation de la mâchoire

Le cas spécifique de la luxation de la mâchoire

Affichage des articles 19-24 sur 138

Création par Webdentiste

Connexion