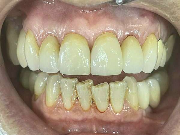
6 antérieures du haut réalisation dans la journée
Blog
Provisoires, puis prothèse d’usage réalisée dans la journée
La réalisation de prothèses dentaires peut maintenant bénéficier de l’ensemble des moyens numériques existants.
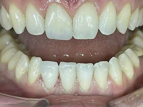
Facettes réalisées au cabinet grâce au numérique un jour le haut, le lendemain le bas.
Facettes réalisées dans la journée au cabinet :empreinte numérique + usinage et maquillage au cabinet
Incisives centrales naturelles, facettes sur les prémolaires et les canines
Affichage des articles 1-6 sur 138
Découvrez notre collection de fiches pédagogiques





