Cabinet du Docteur Jean-Marc DUBOIS & Mathieu DUBOIS
Esthétique - Implantologie - Omnipratique
540 rue Paradis, 13008 MARSEILLE
+33 4 91 71 09 28
Cabinet du Docteur Jean-Marc DUBOIS & Mathieu DUBOIS
Esthétique - Implantologie - Omnipratique

CAS CLINIQUES


Cas clinique n°1: 6 facettes réalisées dans la journée

Cas clinique n°2: Reconstitution complète avec empreinte numérique en une journée

Cas clinique n°3: Reconstitution complète avec empreinte numérique en une journée

Cas clinique n°4: Bridge complet sur implants au maxillaire supérieur, facettes dans le secteur antérieur à la mandibule et implants dans les secteurs postérieurs.

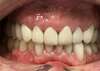
Cas clinique n°5: Facettes sur les deux incisives centrales.

Cas clinique n°6: Facette unitaire sur l'incisive centrale gauche à la mandibule.

Cas clinique n°7: Coiffe céramique sur l'incisive latérale droite, facettes sur les deux incisives centrales, implant sur l'incisive latérale gauche.

Cas clinique n°8: Facettes sur 14 13 12 22 23 24 réalisées dans la journée

Création par Webdentiste

Connexion